DICOM

DICOM이란?

DICOM(Digital Imaging and Communications in Medicine)은 의료 영상 정보 및 관련 데이터를 저장하고 전송하며 관리하기 위한 국제 표준입니다. 이 표준은 영상의 형식과 영상의 공유에 사용되는 통신 프로토콜을 표준화하여 MRI, CT, 초음파, 엑스레이 장비 등 서로 다른 영상 기기와 시스템 간의 상호운용성을 보장합니다. DICOM 파일에는 일반적으로 영상 데이터와 환자 정보, 영상 파라미터, 연구 세부 정보 같은 중요한 메타데이터가 모두 포함되어 있어, 의료 환경에서 효율적이고 정확하게 진단하고, 치료 계획을 수립하고, 보관하는 데 있어 필수적입니다.

요점

  • DICOM은 의료 영상과 관련 메타데이터의 저장을 위해 가장 널리 사용되는 표준입니다.
  • 이 표준은 다양한 의료 영상 기기와 의료 시스템 간의 호환성과 통신을 보장합니다.
  • 이를 통해 높은 동적 범위(최대 16비트)의 다차원 영상 데이터를 단일 데이터 저장소에 수집하고 저장할 수 있습니다.
  • 이 표준은 대부분의 의료기기 제조업체가 전적으로 지원하며 병원 및 의원에서 널리 사용됩니다.

DICOM 데이터 형식

DICOM 데이터 형식을 사용하면 의료 영상 및 관련 메타데이터를 표준화된 파일로 효율적으로 저장하고 전송할 수 있습니다. 각 DICOM 파일에는 태그, 데이터형, 길이, 값 등 계층적으로 구성된 데이터 요소가 포함됩니다. DICOM은 CT, MRI, 초음파 또는 엑스레이 스캔 등의 영상 데이터와 함께 환자 ID, 수집 설정 및 타임스탬프 등의 메타데이터를 캡슐화합니다. JPEG 및 PNG 등의 범용 영상 형식과 달리, DICOM은 의료용으로 특별히 설계되어 멀티프레임 영상, 3차원 볼륨, 병원 정보 시스템과의 통합을 지원합니다. 향상된 DICOM은 최신 영상 기술과 복잡한 임상 워크플로에 대한 지원이 개선된 고급 버전으로, 임상 정확성과 상호운용성에 필수적입니다.

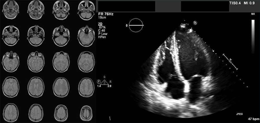
DICOM 형식 영상의 예: 뇌 MRI 스캔을 통해 얻은 일련의 20개 영상 및 심장 초음파 영상.

DICOM 형식으로 저장된 일련의 뇌 MR 영상(왼쪽) 및 심장 초음파 스캔(오른쪽).

DICOM의 응용 사례

DICOM은 방사선학과 심장학 및 종양학 등의 기타 의료 분야에서 필수적입니다. 영상 데이터를 상세한 메타데이터와 결합하는 DICOM의 기능은 AI 및 머신러닝에 통합하기에 적합해, 고급 영상 분석, 자동 진단, 임상 의사결정 지원을 지원할 수 있습니다. 또한 원격협진, 2차 소견, 협력의료를 위해 의료 영상을 안전하고 효율적으로 공유할 수 있어 원격 의료에서 중요한 역할을 하며, 특히 의료 서비스가 부족한 지역이나 시골 지역에는 매우 중요합니다. 이처럼 DICOM을 기존 의료 기술과 새롭게 부상하는 의료 기술에 통합하면 환자 예후를 개선하고 임상 워크플로를 간소화할 수 있습니다.

MATLAB을 활용한 DICOM 데이터 관리

DICOM 데이터를 효과적으로 관리하려면 저장, 보안, 분석의 모범 사례를 따라야 합니다. DICOM 파일은 효율적인 검색과 장기적인 접근성을 보장할 수 있도록, 종종 PACS(의료영상저장전송시스템)와 통합되는 구조화된 디렉터리 시스템에 저장되어야 합니다. MATLAB®을 사용하면 DICOM 및 향상된 DICOM 형식의 의료 영상 작업을 수행하고 PACS 서버와 직접 통신할 수 있습니다. 그리고 의료 영상 읽기, 쓰기, 시각화, 분할 등 DICOM 데이터를 처리하고 분석하기 위한 강력한 기능을 제공합니다.  

데이터 보안을 유지하고 특히 HIPAA, GDPR 및 기타 규제를 준수하려면 환자 데이터의 암호화, 액세스 제어, 익명화를 구현하는 것이 필수입니다. MATLAB의 dicomanon 함수를 사용하면 DICOM 파일에서 기밀 의료 정보를 제거하고 수정된 값으로 새 파일을 생성할 수 있습니다. Image Processing Toolbox™, Deep Learning Toolbox™Medical Imaging Toolbox™를 사용하면 의료 영상 워크플로를 자동화하고, 특징을 추출하며, 진단을 지원하기 위한 AI 모델을 구축할 수도 있기 때문에 MATLAB은 임상 연구와 의료기기 개발 모두에 있어 매우 중요한 플랫폼입니다.

레이블이 지정된 흉부 CT 스캔의 횡단면, 시상면, 관상면 및 3차원 볼륨 DICOM 영상을 보여주는 스크린샷.

Medical Imaging Toolbox의 의료 영상 레이블 지정기를 사용해 시각화한 DICOM 형식의 3차원 흉부 CT 스캔. (문서 보기.


참조: 의료기기, 의료 영상 분석, 의료 영상 분할, Medical Imaging Toolbox

의료영상

MATLAB 및 Simulink를 사용한 의료 영상

MATLAB 및 Simulink를 사용하여 의료 영상을 위한 영상 처리 알고리즘과 설명 가능한 AI 모델을 만들고 의료 영상 기기를 설계할 수 있습니다.

자기 주도형 온라인 교육과정

Image Processing Onramp

시작하기