이 번역 페이지는 최신 내용을 담고 있지 않습니다. 최신 내용을 영문으로 보려면 여기를 클릭하십시오.
segmentObjectsFromEmbeddings
설명
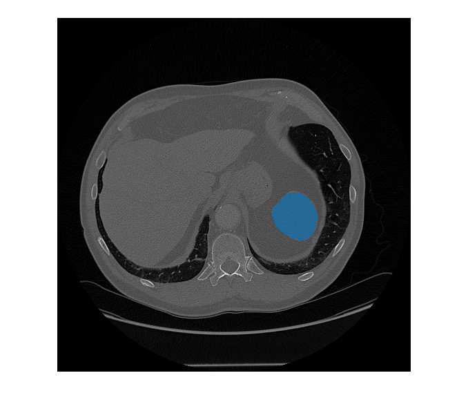
[는 MedSAM(Medical Segment Anything Model) 영상 임베딩 mask,score] = segmentObjectsFromEmbeddings(medsam,embeddings,imageSize,BoundingBox=boxPrompt)embeddings와 경계 상자 좌표 boxPrompt를 시각적 프롬프트로 사용하여 imageSize 크기의 영상에서 객체를 분할하고, 예측된 객체 마스크 mask와 해당 예측 점수 score를 반환합니다.
참고
이 기능을 사용하려면 Deep Learning Toolbox™, Computer Vision Toolbox™ 및 Medical Imaging Toolbox™ Model for Medical Segment Anything Model이 필요합니다. 애드온 탐색기에서 Medical Imaging Toolbox Model for Medical Segment Anything Model을 설치할 수 있습니다. 애드온 설치에 대한 자세한 내용은 애드온을 받고 관리하기 항목을 참조하십시오.
예제
입력 인수
출력 인수
확장 기능
버전 내역
R2024b에 개발됨

